Introduction
The rapidly growing monoclonal antibody (mAb) market and the increasing demand for improved process economy put pressure on creating efficient downstream processing. WorkBeads™ affimAb is an alkali-stable protein A resin with high dynamic binding capacities even at short residence times. The resin allows mAb purification that gives exceptionally low host cell protein (HCP) and DNA (HCD) levels. The mAb purification platform was further enhanced by protection of the protein A resin by introducing an upstream pre-treatment step using a high-salt-tolerant anion exchange chromatography resin, WorkBeads 40 TREN. This resin reduces the bioburden to a minimum by extensive reduction of HCP and HCD before loading onto the protein A column.
High binding capacity at short residence time
IgG dynamic binding capacity (DBC) at different residence times (or flow rates) was determined for WorkBeads affimAb and MabSelect SuRe™, Figure 1.
Figure 1. DBC for human polyclonal IgG determined at different flow rates (residence times) by frontal analysis on WorkBeads affimAb (blue) and MabSelect SuRe (red).

High binding capacity after cleaning-in-place (CIP)
Regular CIP of the protein A resin is mandatory, and the subsequent binding capacity after sodium hydroxide treatment should not be impaired. WorkBeads affimAb and MabSelect SuRe were investigated for stability during a typical CIP treatment by continuous incubation with 0.5 M NaOH at 1.0 ml/min for 15 minutes and regular DBC testing, see Figure 2.
Figure 2. DBC determined with polyclonal human IgG at 2.4 minutes residence time. QB10% measured at every 20th CIP cycle for WorkBeads affimAb and MabSelect SuRe.

Ensuring high purity mAb eluates
In mAb purification for therapeutics the purity requirements are highly stringent. In Figure 3, the amounts of HCP and HCD levels in the eluted mAb from WorkBeads affimAb and MabSelect SuRe are shown during 50 purification cycles. It was noticed that all investigated eluates from WorkBeads affimAb contained lower amounts of impurities compared to corresponding eluates from MabSelect SuRe.
Figure 3. Comparison of residual HCP (A) and HCD (B) in mAb eluates from WorkBeads affimAb and MabSelect SuRe during 50 purification cycles.

Protection of protein A resin
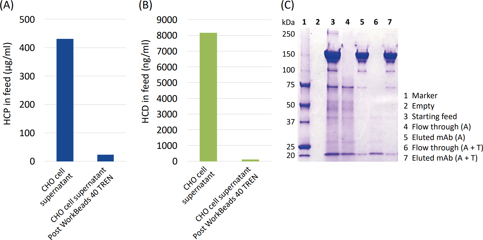
Using WorkBeads 40 TREN (a high-salt-tolerant IEX resin) upstream protein A resins is an excellent tool to for eliminating the extensive bioburden on the protein A resin caused by the impurities from the host cells, and thus extending the lifetime of the protein A resin. The advantage of using WorkBeads 40 TREN upstream of WorkBeads affimAb is shown in Figure 4. Up to 95% of HCP and 99% of HCD have been removed from the mAb feed loaded onto the protein A resin.
Impurities loaded onto WorkBeads affimAb resin with or without WorkBeads 40 TREN upstream are visualized in Figure 4C, lanes 4 and 6. Figure 4C also demonstrates the non-binding of mAb when introducing WorkBeads 40 TREN.
Figure 4. Levels of impurities in CHO cell supernatant before and after WorkBeads 40 TREN treatment. (A) HCP and (B) HCD in mAb sample loaded onto the protein A resin. (C) SDS-PAGE analyses of the feed, flow-through and eluted mAb, with or without WorkBeads 40 TREN (T) upstream WorkBeads affimAb (A).

Conclusions
WorkBeads affimAb shows in this study 37% higher DBC than MabSelect SuRe at 2.4 minutes residence time and has 39% higher binding capacity after 60 CIP cycles using 0.5 M NaOH. Even after 120 CIP cycles the DBC for WorkBeads affimAb was higher than the start DBC value for MabSelect SuRe. The key parameter for therapeutics is high purity, which is one of the most prominent characteristics of purifications using WorkBeads affimAb.
By introducing WorkBeads 40 TREN upstream of WorkBeads affimAb removal of up to 95% of HCP and 99% of HCD from the mAb sample loaded onto the protein A resin was obtained. Combining the characteristics of WorkBeads affimAb and using WorkBeads 40 TREN for pretreatment of the mAb feed prior to loading onto the protein A resin will highly improve process economy during mAb purifications.